Cette plateforme complète permet au TCS de réaliser toute étude histologique à partir des tissus de nos modèles murins avancés du système immunitaire humain.
De nombreuses applications sont proposées :
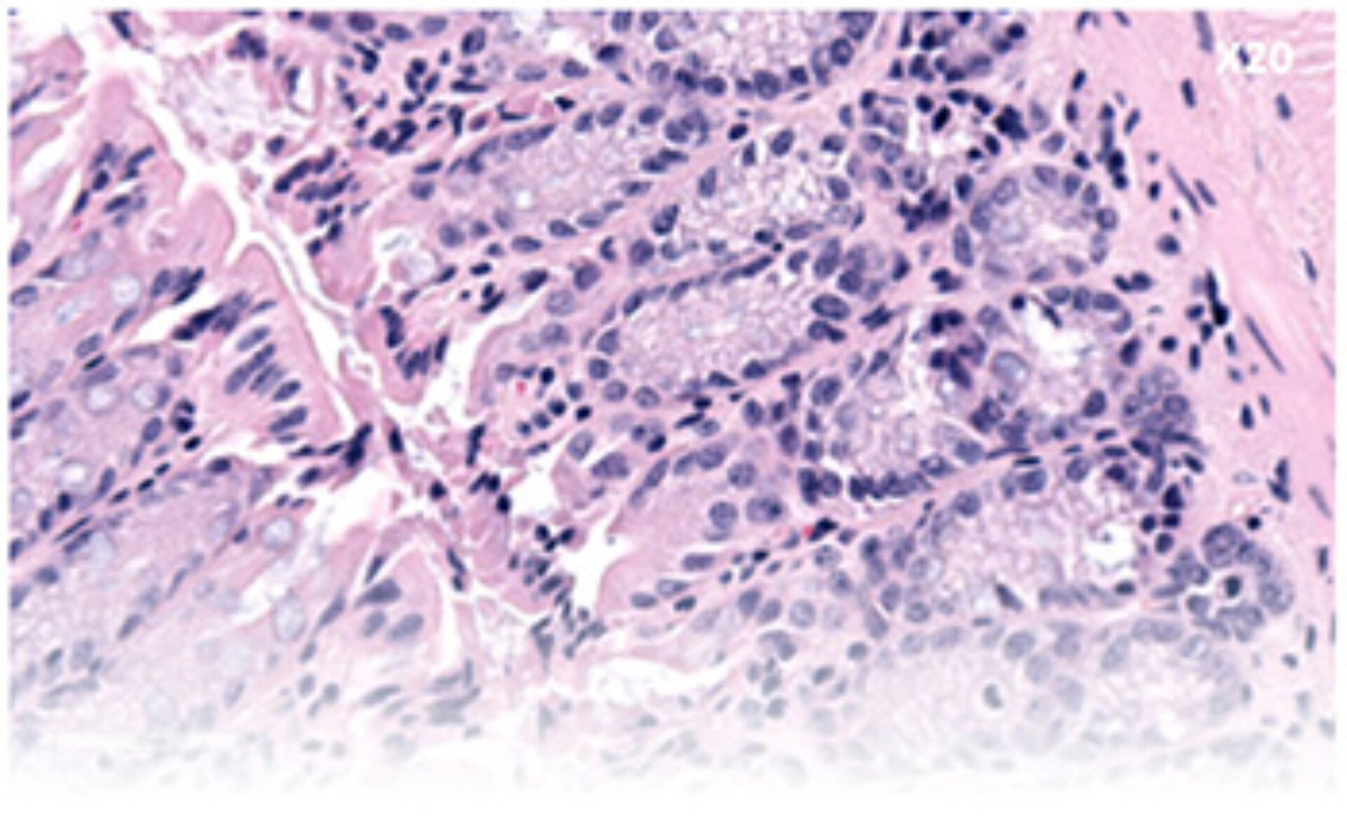
- Marquage/coloration standard ou spécifique (H&E, PAS …) pour l’étude de la morphologie des tissus (ex. IBD, IO, études infectieuses)
- Chromogénicité et immunohistochimie de fluorescence (IHC) pour l’étude de l’expression des marqueurs cibles
- Processus de paraffinisation des échantillons sous forme de blocs FFPE
- Microtomie
- Coloration/Immunostaining
- Analyse : scan des lames et analyse des images (notation de la colonisation pour IBD, quantification de l’immunomarquage)
Cette nouvelle plateforme est composée de :
- Le TP1020 Automatic Tissue Processor de Leica ; permettant la déshydratation et l’inclusion en paraffine des différents tissus prélevés.
- La station d’enrobage HistoCore Arcadia ; permettant l’enrobage en paraffine des échantillons sous forme de blocs FFPE.
- Le microtome HM340E + station STS ; permettant la découpe des blocs FFPE pour ainsi générer des lames blanches (non colorées, non marquées).
- Le scanner à lame Aperio Versa ; permettant l’acquisition d’images en fond clair et en fluorescence des échantillons marqués.
Vous souhaitez en savoir plus sur nos nouveaux services de laboratoire ?